Petrović, Milica
-
Vojnosanitetski pregled Vol. 71 No. 6 (2014) - Case report
Myeloma multiplex with pulmonary dissemination
Abstract PDF -
Vojnosanitetski pregled Vol. 71 No. 8 (2014) - Case report
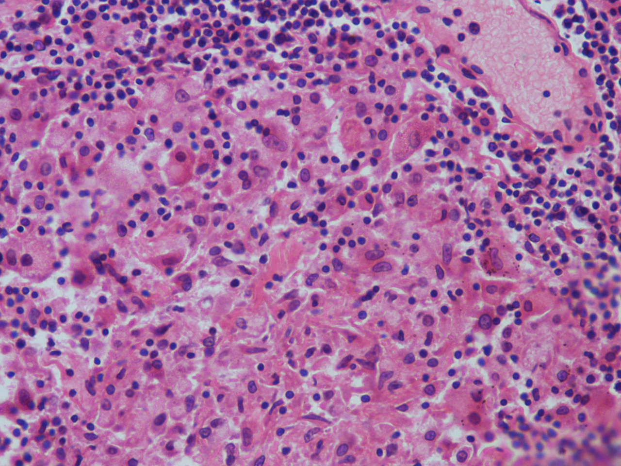
Asymptomatic flow of Rosai-Dorfman disease
Abstract Bez naslova PDF Bez naslova Bez naslova Bez naslova Bez naslova Bez naslova Bez naslova Bez naslova -
Vojnosanitetski pregled Vol. 72 No. 1 (2015) - Case report
Specificities of transplantation of kidneys procured from donors with situs inversus totalis – A case report and review of the literature
Abstract PDF Untitled -
Vojnosanitetski pregled Vol. 72 No. 4 (2015) - Original Paper
Oral health-related quality of life of edentulous patients after complete dentures relining
Abstract PDF alex, Cover letter.doc alex, Untitled-1.pdf alex, Korekcija rada 4836.docx -
Vojnosanitetski pregled Vol. 72 No. 2 (2015) - Case report
Kidney failure as an unusual initial presentation of biclonal gammopathy (IgD multiple myeloma associated with light chain disease) – A case report
Abstract Bez naslova KIDNEY FAILURE AS AN UNUSUAL INITIAL PRESENTATION BIKLONALE GAMMOPATHY (IGD -
Vojnosanitetski pregled Vol. 72 No. 10 (2015) - Original Paper
Artificial saliva effect on toxic substances release from acrylic resins
Abstract PDF Bez naslova -
Vojnosanitetski pregled Vol. 74 No. 6 (2017) - Original Paper
Blood concentrations of B-type natriuretic peptide and N-terminal prohormone B-type natriuretic peptide as markers of left ventricle diastolic function in patients with chronic renal failure
Abstract Autorship, Conflict of Interest and Contribution Statement Revised manuscript Reply to reviewers Final revised manuscript Corrected manuscipt after 2nd round Reply ro reviewers after 2nd round -
Vojnosanitetski pregled Vol. 75 No. 5 (2018): Vojnosanit Pregl 2018; May Vol. 75 (No. 5): p. 435–540. - Case report
Intracranial aneurysm as extra-renal manifestation of polycystic kidney disease – A case report
Abstract PDF -
Vojnosanitetski pregled Vol. 76 No. 6 (2019): Vojnosanit pregl - Original Paper
Urinary transferrin as an early biomarker of diabetic nephropathy
Abstract PDF -
Vojnosanitetski pregled Vol. 78 No. 2 (2021): Vojnosanitetski Pregled - Case report
Acute kidney failure and extramedullary lung infiltration as the initial presentation of multiple myeloma: A case report
Abstract PDF -
Vojnosanitetski pregled Vol. 81 No. 08 (2024): Vojnosanitetski pregled - Original Paper
The significance of determining biomarkers of inflammation in chronic kidney failure
Abstract PDF -
Vojnosanitetski pregled Vol. 81 No. 05 (2024): Vojnosanitetski pregled - Original Paper
Determination of nutrition indices and their correlation with activity of lupus nephritis
Abstract PDF
