Stanković, Goran
-
Vojnosanitetski pregled Vol. 71 No. 3 (2014) - Original Paper
A novel framework for fluid/structure interaction in rapid subject-specific simulations of blood flow in coronary artery bifurcations
Abstract PDF FIG 1 Odgovor recenzentu A Rezime rada ID 2792 A NOVEL FRAMEWORK FOR FLUID/STRUCTURE INTERACTION IN RAPID SUBJECT-SPECIFIC SIMULATIONS OF BLOOD FLOW IN CORONARY ARTERY BIFURCATIONS Fig 2 Fig 3 Fig 4 Fig 5 Fig 6 Fig 7 Fig 8 Fig 9 Fig 10 -
Vojnosanitetski pregled Vol. 71 No. 9 (2014) - Current Topic
Is there enough evidence for routine use of drug-eluting stents in acute myocardial infarction with ST segment elevation?
Details Bez naslova PDF -
Vojnosanitetski pregled Vol. 72 No. 7 (2015) - Case report
Cervical poorly differentiated adenocarcinoma with dominant choriocarcinomatous pattern – A case report
Abstract PDF -
Vojnosanitetski pregled Vol. 73 No. 2 (2016) - Short Report
Percutaneous implantation of self-expandable aortic valve in high risk patients with severe aortic stenosis: The first experiences in Serbia
Abstract Untitled Untitled Untitled Untitled Untitled Percutaneous implantation of self-expandable aortic valve in high risk patients with severe aortic stenosis: First experience in Serbia Percutaneous implantation of self-expandable aortic valve in high risk patients with severe aortic stenosis: First experience in Serbia -
Vojnosanitetski pregled Vol. 74 No. 2 (2017) - Review Paper
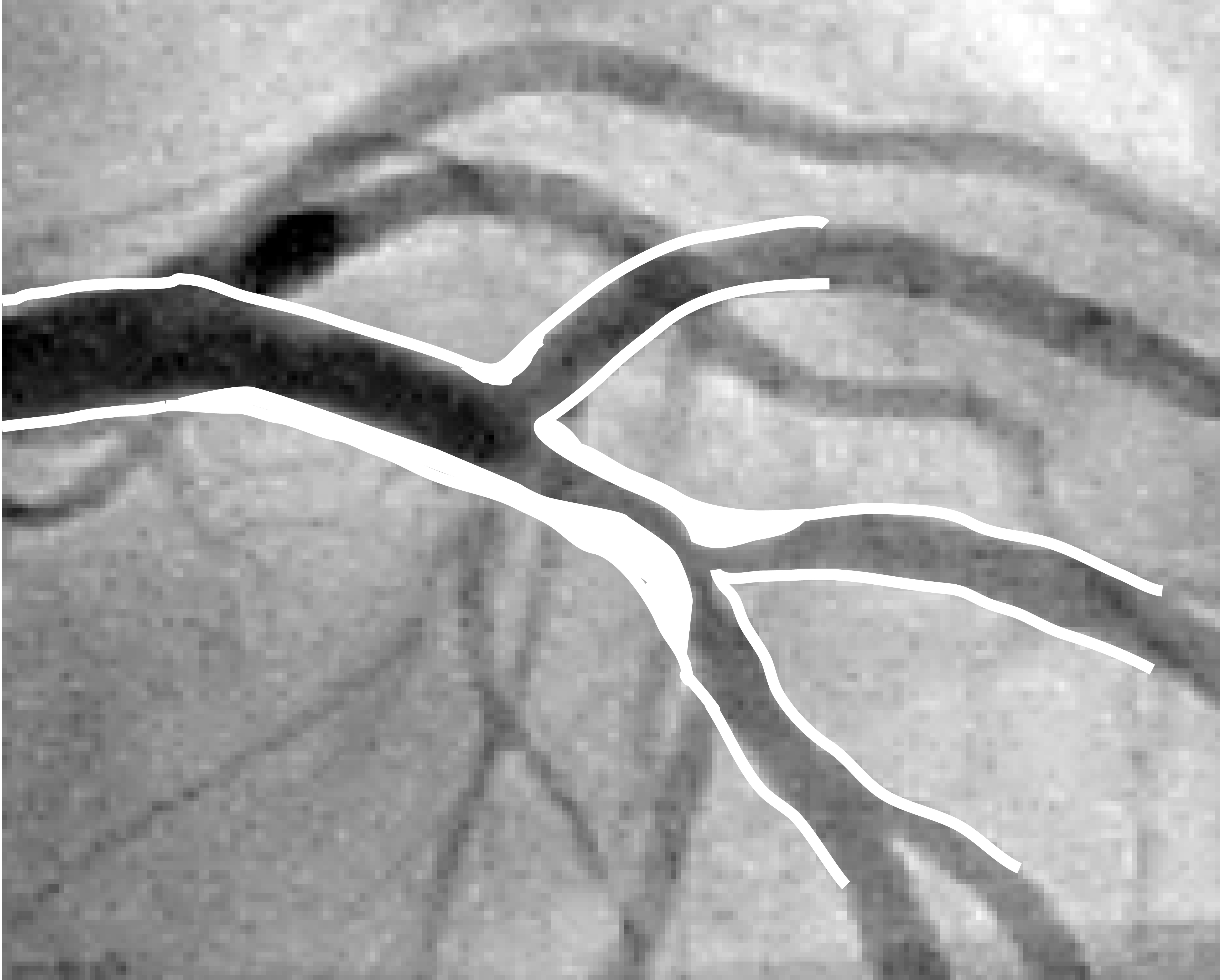
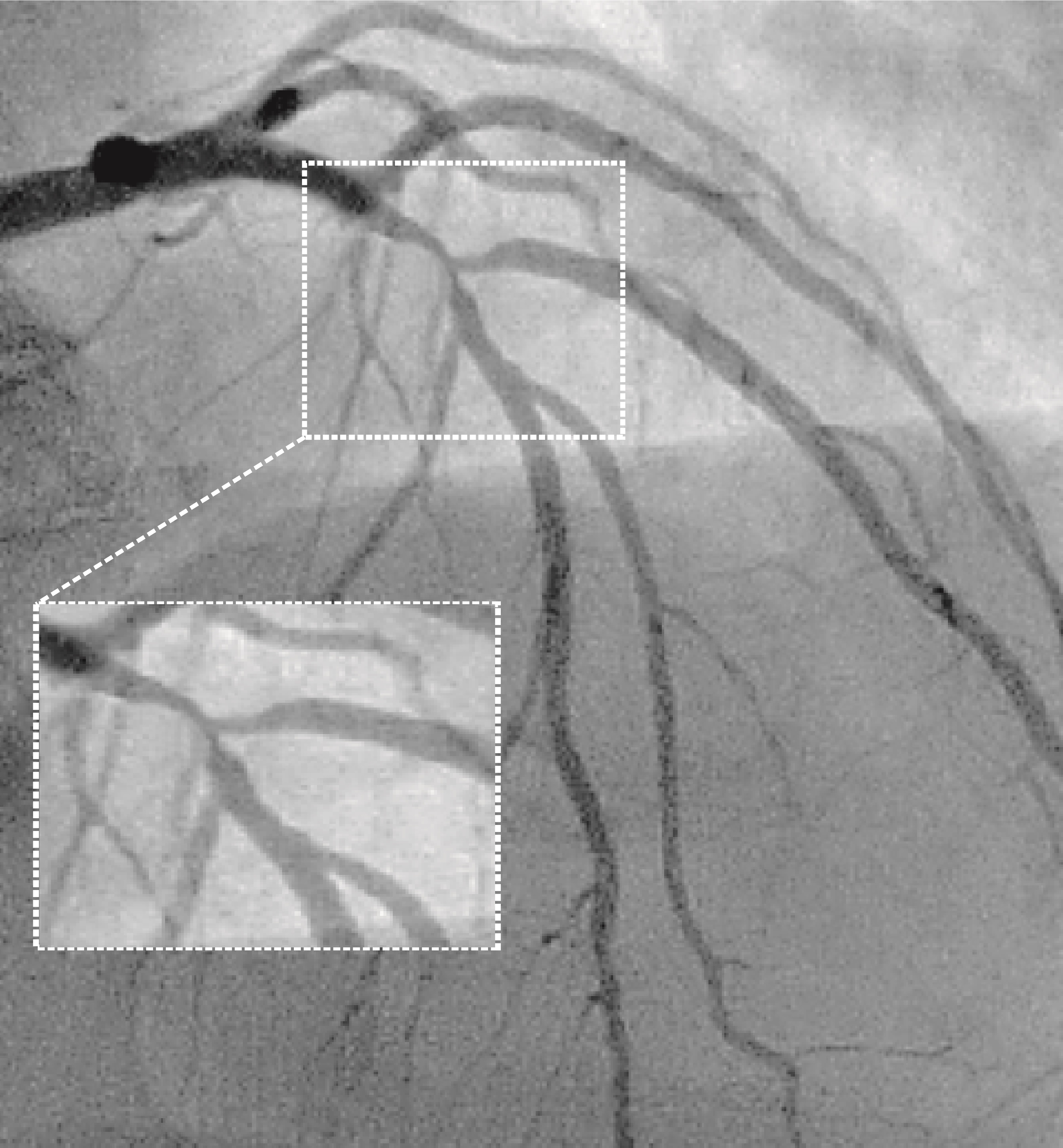
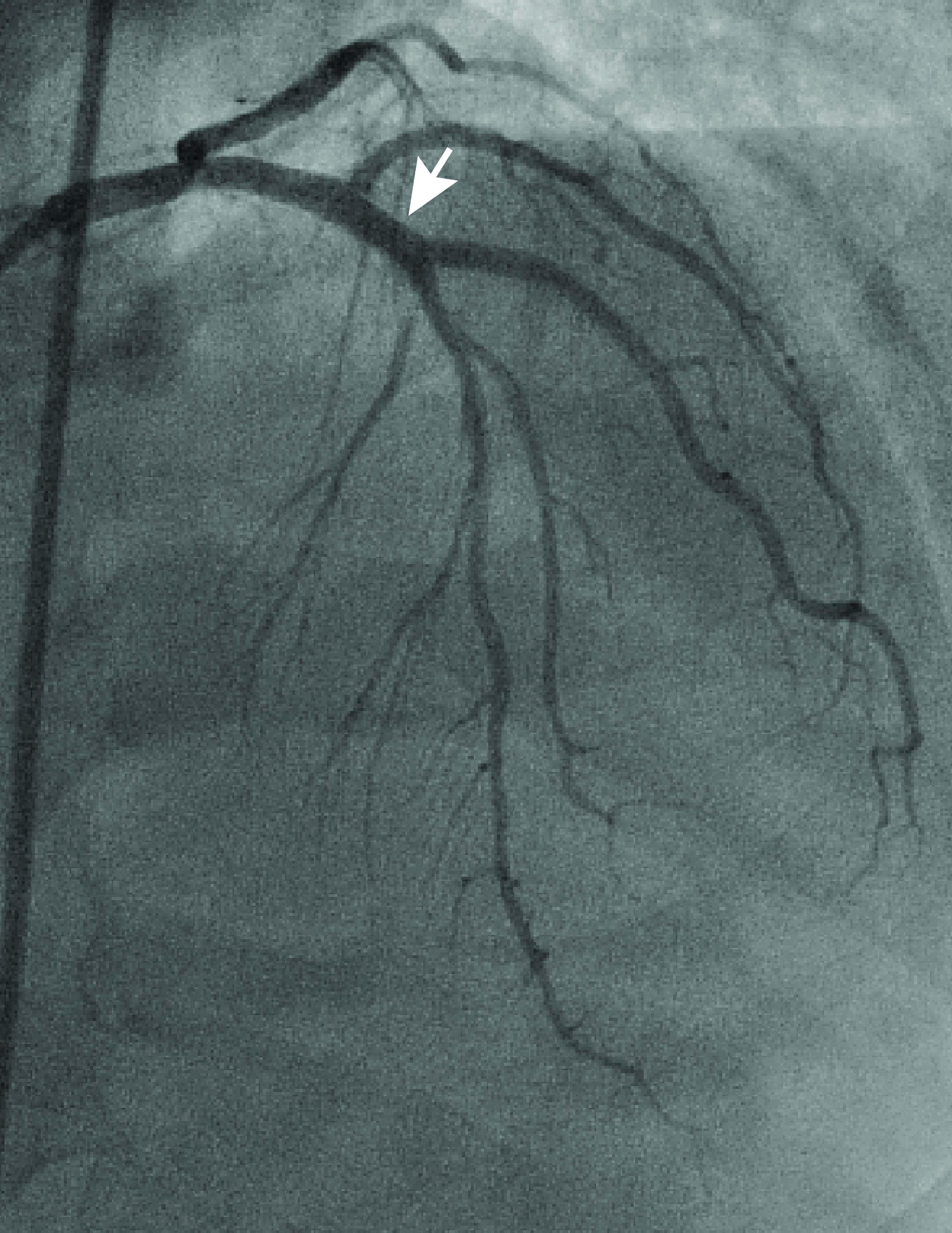
Atherosclerosis and coronary artery bifurcation lesions: anatomy and flow characteristics
Details Bez naslova Bez naslova Bez naslova Bez naslova Bez naslova Bez naslova Bez naslova Bez naslova Bez naslova Bez naslova Bez naslova Bez naslova -
Vojnosanitetski pregled Vol. 74 No. 4 (2017) - Case report
Left atrial appendage closure with Watchman device in prevention of thromboembolic complications in patients with atrial fibrillation: First experience in Serbia
Abstract Untitled Figure 2 Figure 3 Figure 4 Figure 5 Figure 6 Figure 7 -
Vojnosanitetski pregled Vol. 79 No. 5 (2022): Vojnosanitetski pregled - Case report
The retrograde technique for recanalization of chronically occluded coronary arteries: case series report
Abstract PDF
