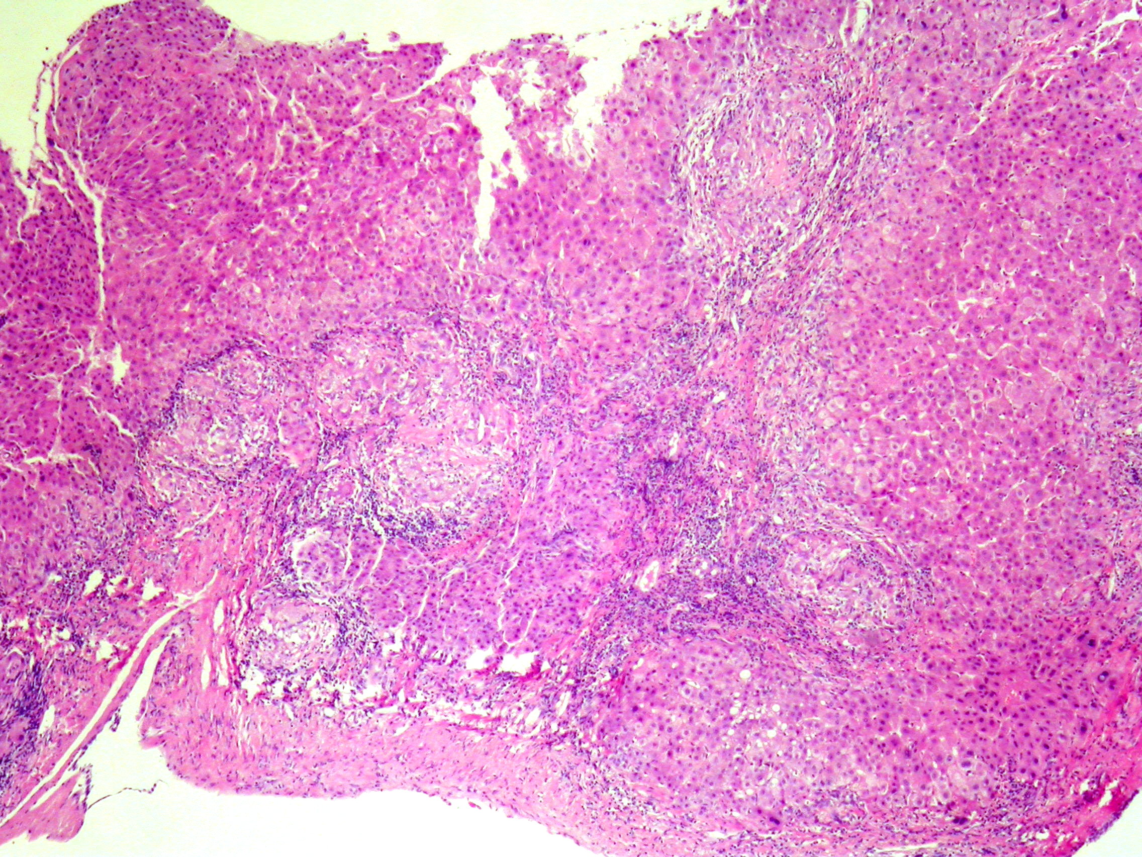
Boricic, Ivan