Obradović, Slobodan
-
Vojnosanitetski pregled Vol. 70 No. 5 (2013) - Case report
Zuclopenthixol decanoate in pregnancy: successful outcomes in two consecutive offsprings of the same mother
Abstract Covering Letter -
Vojnosanitetski pregled Vol. 71 No. 9 (2014) - Review Paper
Stress hyperglycemia in acute myocardial infarction
Details Bez naslova PDF -
Vojnosanitetski pregled Vol. 72 No. 6 (2015) - Case report
Does thrombolytic therapy harm or help in ST elevation myocardial infarction (STEMI) caused by the spontaneous coronary dissection?
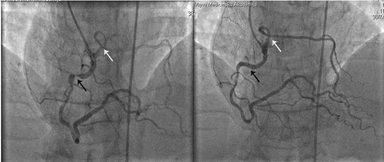
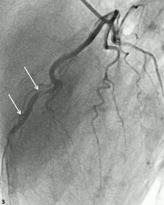
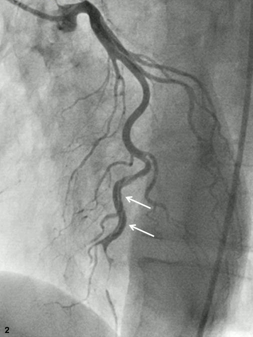
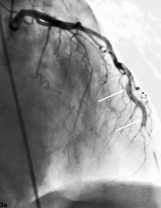
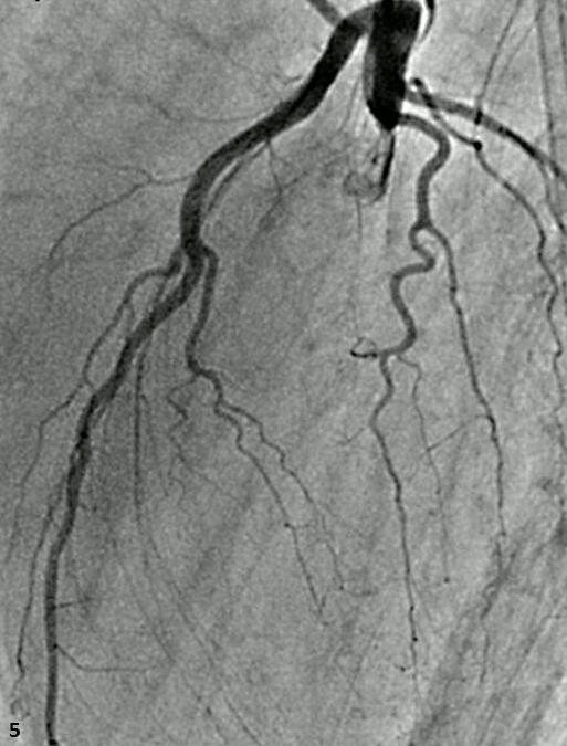
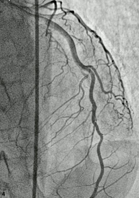
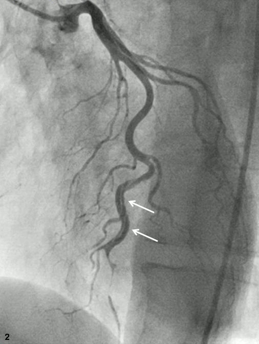
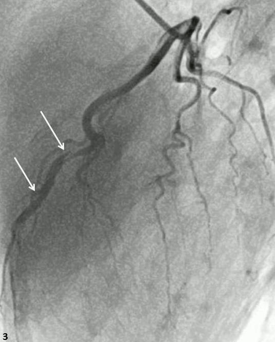
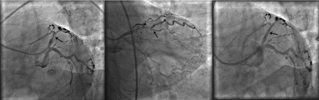
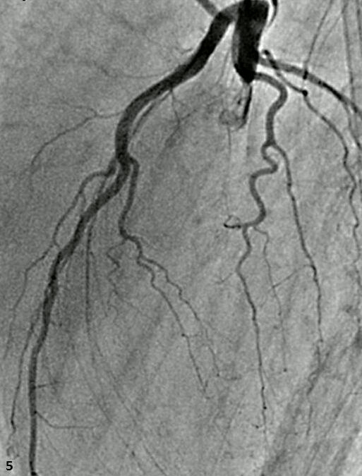
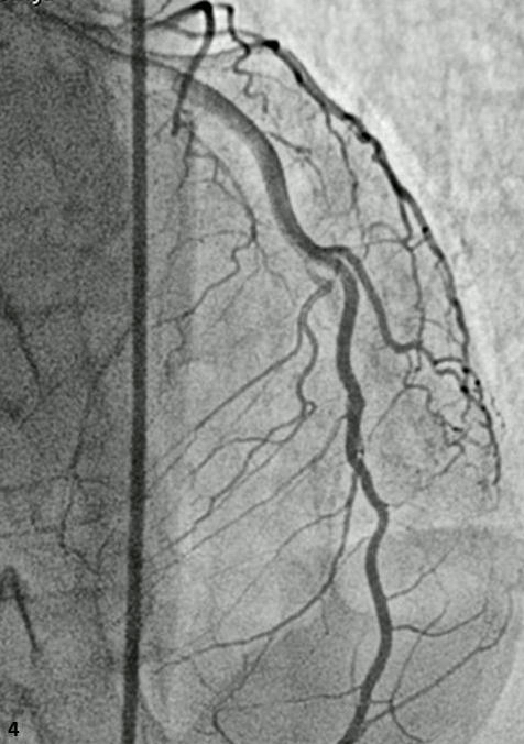
Abstract PDF ECG 1 Angio 1 Angio 2 Angio 3 Angio 4 ECG 2 Table Chart Original File 1 2 3 4 5 6 Reply to reviewer Fig. 1. ECG during myocardial infarction Fig. 2. Coronary angiography of LCA during myocardial infarction Fig. 3. Coronary angiography of LCA during myocardial infarction Fig. 3a. Coronary angiography of LCA during myocardial infarction Fig. 4. Coronary angiography of LCA 2 years after myocardial infarction Fig. 5. Coronary angiography of LCA 2 years after myocardial infarction Fig. 6. ECG 2 years after myocardial infarction Fig. 7. Thrombolytic trials in patients with coronary artery dissection Fig. 8. Flow chart of the study selection process -
Vojnosanitetski pregled Vol. 73 No. 8 (2016) - Case report
Very late stent thrombosis of bare-metal coronary stent nine years after primary percutaneous coronary intervention
Abstract -
Vojnosanitetski pregled Vol. 72 No. 3 (2015) - Original Paper
Functional recovery of patients with ischemic cardiomyopathy treated with coronary artery bypass surgery and concomitant intramyocardial bone marrow mononuclear cell implantation – A long-term follow-up study
Abstract PDF -
Vojnosanitetski pregled Vol. 74 No. 10 (2017) - Case report
Sneezing – a symptom of respiratory or psychogenic superposition of illness in a teenager?
Abstract Table 1 Ethics Committee in Clinical Center COI FOR ALL AUTHORS Author Commitment Statement COI for Stojkovic COI for Obradovic COI for Simovic Author Contributions -
Vojnosanitetski pregled Vol. 73 No. 1 (2016) - Case report
Successful primary percutaneous coronary interventions in a patient with two consecutive ST-segment elevation myocardial infarctions and dual left anterior descending artery (type IV)
Abstract Figure 1 Bez naslova Bez naslova Bez naslova Bez naslova Bez naslova 1 2 3 4 5 -
Vojnosanitetski pregled Vol. 73 No. 7 (2016) - Original Paper
Influence of open surgical and endovascular abdominal aortic aneurysm repair on clot quality assessed by ROTEM® test
Abstract -
Vojnosanitetski pregled Vol. 73 No. 3 (2016) - Case report
Iatrogenic dissection of the left main coronary artery during elective diagnostic procedures – A report on three cases
Abstract Saglasnost autora Odgovor recezentu A -
Vojnosanitetski pregled Vol. 74 No. 3 (2017) - Original Paper
Prognostic value of serum parathyroid hormone in ST-elevation myocardial infarction patients
Abstract -
Vojnosanitetski pregled Vol. 74 No. 10 (2017) - Current Topic
Ultrasound accelerated thrombolysis for therapy of arterial and venous thrombosis – initial experience in the Military Medical Academy in Belgrade
Abstract -
Vojnosanitetski pregled Vol. 73 No. 10 (2016) - Original Paper
Association of different electrocardiographic patterns with shock index, right ventricle systolic pressure and diameter, and embolic burden score in pulmonary embolism
Abstract Odgovor recenzentima i glavnom uredniku -
Vojnosanitetski pregled Vol. 74 No. 5 (2017) - Case report
Hereditary hemorrhagic telangiectasia associated with inherited thrombophilia
Abstract Untitled Untitled Untitled -
Vojnosanitetski pregled Vol. 74 No. 8 (2017) - Original Paper
Biochemical liver function tests parameters do not indicate any difference in the degree of hepatotoxicity in patients with metastatic colorectal carcinoma treated with conventional anticancer drugs regardless the use of bevacizumab
Abstract alex, Grafici i tabela-prilog.doc alex, ANSWER TO REVIEWER.doc alex, Grafici i tabela-prilog.doc -
Vojnosanitetski pregled Vol. 75 No. 2 (2018) - Original Paper
Association between serum concentration of parathyroid hormone and left ventricle ejection fraction, and markers of heart failure and inflammation in ST elevation myocardial infarction patients treated with primary percutaneous coronary intervention
Abstract PDF -
Vojnosanitetski pregled Vol. 76 No. 11 (2019): Vojnosanit Pregl - Review Paper
Four varieties of diabetes mellitus in acute myocardial infarction
Details PDF -
Vojnosanitetski pregled Vol. 75 No. 10 (2018): Vojnosanit Pregl 2018; October Vol. 75 (No. 10) - Original Paper
Faktori koji utiču na „no reflow“ fenomen kod bolesnika sa infarktom miokarda sa elevacijom ST-segmenta lečenih primarnom perkutanom koronarnom intervencijom
Abstract PDF -
Vojnosanitetski pregled Vol. 76 No. 4 (2019): Vojnosanit pregl - Original Paper
Platelet aggregability and anticoagulant proteins activity during dobutamine stress echocardiography in asymptomatic patients four months after percutaneous coronary intervention
Abstract PDF -
Vojnosanitetski pregled Vol. 76 No. 10 (2019): Vojnosanit Pregl - Original Paper
Prognostic significance of inflammatory biomarkers in diabetic and non-diabetic patients with STEMI, treated with primary percutaneous coronary intervention
Abstract PDF -
Vojnosanitetski pregled Vol. 77 No. 1 (2020): Vojnosanitetski pregled - Original Paper
The significance of C-reactive protein for the prediction of net-adverse clinical outcome in patients with acute pulmonary embolism
Abstract PDF -
Vojnosanitetski pregled Vol. 77 No. 10 (2020): Vojnosanit pregl - Original Paper
Association of factor II G20210A, factor V G1691A and methylenetetrahydrofolate reductase C677T gene polymorphism with different forms of myocardial infarction: ST segment elevation and non-ST segment elevation
Abstract PDF -
Vojnosanitetski pregled Vol. 78 No. 5 (2021): Vojnosanitetski pregled - Original Paper
Different predictive value for short-term all-cause mortality with commonly used biomarkers regarding the cause of pulmonary embolism
Abstract PDF -
Vojnosanitetski pregled Vol. 78 No. 12 (2021): Vojnosanitetski pregled - Original Paper
Sex-specific differences and risk factors for 30-day mortality in acute pulmonary embolism – results from the Serbian University Multicenter Pulmonary Embolism registry
Abstract PDF -
Vojnosanitetski pregled Vol. 80 No. 03 (2023): Vojnosanitetski pregled - Case report
Moyamoya syndrome in Schimke immuno-osseous dysplasia
Abstract PDF -
Vojnosanitetski pregled Vol. 79 No. 12 (2022): Vojnosanitetski pregled - Original Paper
Antithrombin activity as a significant predictor of early mortality in pulmonary embolism patients
Abstract PDF -
Vojnosanitetski pregled Vol. 81 No. 02 (2024): Vojnosanitetski pregled - Original Paper
The significance of early-onset malignant arrhythmias in ST-elevation myocardial infarction patients treated with primary percutaneous coronary intervention and their relationship with biomarkers
Abstract PDF -
Vojnosanitetski pregled Vol. 81 No. 02 (2024): Vojnosanitetski pregled - Case report
Sudden sustained monomorphic ventricular tachycardia in a previously healthy adult with many causes for it, but which is the correct one?
Abstract PDF -
Vojnosanitetski pregled Vol. 81 No. 05 (2024): Vojnosanitetski pregled - Original Paper
Sex differences in the prognostic value of computed tomography pulmonary angiography parameters for intrahospital acute pulmonary embolism-related death
Abstract PDF -
Vojnosanitetski pregled Vol. 81 No. 11 (2024): Vojnosanitetski pregled - Current Topic
Challenges and considerations in the management of acute pulmonary embolism: a critical analysis of European Society of Cardiology guidelines
Details PDF
